Открытая итальянским учёным, который занимался исследованиями, доля живой клетки была названа в его честь. Комплекс Гольджи может иметь различную форму, он состоит из нескольких камер, расположенных в мембранах. Его основным назначением является создание лизосом и синтез различных веществ. Это микроскопическая органелла эукариотической клетки с одной мембраной, что используется для разных процессов в организме.

Устройство комплекса
Особенности строения комплекса Гольджи — он состоит из сплющенных резервуаров, обычно хранящихся в диктиосомах. Они не изолированы, а связаны трубочной системой. Первая ёмкость ядра называется полюсом. Количество резервуаров в разных клетках организмов может отличаться, но в целом структура всех эукариот одинакова. В секреторных частях они становятся особенно сильными. Размер и форму аппарата можно посмотреть на рисунках в учебнике.
Доля состоит из 3−8 резервуаров толщиной около 25 Нм, сплющенных посередине и продолжающихся к периферии, напоминающих перевёрнутые пластины. Они связаны меж собой. Маленькие пузырьковые плёнки образуются из периферической части. Клетки человека и растения могут сохранить эти образования. У некоторых из них есть все шансы сообщаться друг с другом, образуя сеть.

Полярность — это наличие цис-стороны, направленной к ядру, где везикулы и боковые стенки соединены с клеткой (эта индивидуальность заметна в частях, выделяющих органы). Сторона асимметрии, расположенная к ядру (проксимальному полюсу), обладает способностью удерживать «незрелые» белки, везикулы, отделённые от ЭПС, которые каждый день прикрепляются к ней.
В случае повреждения по внешним причинам Гольджи делится на некоторые части, но главные её функции будут выполняться. Впоследствии при высвобождении системы микротрубочек, которая была случайным образом распределена в цитоплазме, части добавляются и трансформируются в хорошо функционирующий пластинчатый комплекс. Физическое разделение происходит в обычных клеточных критериях.
Основные функции
Важными характеристиками комплекса Гольджи являются передача белков в соответствии с их назначением, а также их гликозилирование, дегликозилирование и трансформация олигосахаридных цепей. Аппарат характеризуется гладкой активной анизотропией. Возобновлённые синтезированные белки транспортируются из ретикулума к полюсам с поддержкой везикул. После этого они постепенно перемещаются, претерпевая схему преобразования (состав ферментных систем может встречаться, изменяется в резервуарах при их удалении из ядра). В конце белки попадают в место назначения.
Гольджи гарантирует открытие транспортировки белка в таких частях:
- лизосомах (в центральной вакуоли клеток растений и простейших);
- клеточной мембране и межклеточном пространстве. Цель движения белка определяется специальными гликозидными маркерами.

Созревание и транспортировка митохондриальных, ядерных и хлоропластных белков происходит без Гольджи: они могут отсутствовать и синтезируются свободными рибосомами, после этого попадают в цитозоль.
Конкретное значение
Значение Гольджи большое — он гарантирует синтез и превращение углеводного компонента в гликопротеины, протеогликаны и гликолипиды. Он также синтезирует большое количество полисахаридов, таких как пектины в растениях. Органоид Гольджи имеет большое количество различных гликозилтрансфераз и гликозидаз.
Устройство содержит 3 значимых функции в биологии:
- миграция и модификация белка;
- создание и трансформация полисахаридов и липидов;
- создание лизосом.

Секреция Гольджи не до конца понятна биологам. Основной функцией синтеза органелл является секретность, которая затем передаётся. Большинство из них имеют своё происхождение, и в результате этого Гольджи обрабатывает первичные незрелые белки. Структура этого состояния и функция процесса транспорта белка во всех областях не совсем ясны.
Аппарат Гольджи производит гликолипиды. Они обнаруживаются в нервной ткани и клеточных мембранах. Комплекс участвует в накоплении веществ, синтезируемых в эндоплазматической сети, в их химической перестройке и созревании.
В гранулярных резервуарах полисахариды синтезируются и включаются в молекулы белка. Одной из ведущих функций является формирование готовых секреторных продуктов, которые удаляются из клетки методом экзоцитоза.
Важными функциями аппарата для клетки считается обновление мембран, которое уменьшает количество срезов плазматической части и заменяет недостатки в выделении секреторной энергии клетки. Гольджи является источником лизосом, но их ферменты проводят синтез в гранулированной сети.
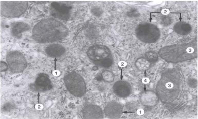
Энергетический переход

Лизосомы — небольшие пузырьки, окруженные одной мембраной. Они изолированы и могут находиться у аппарата Гольджи и эндоплазматического ретикулума. Лизосомы содержат большое количество ферментов, расщепляющих молекулы, в частности, белок. Из-за их личного разрушительного воздействия они блокируются и высвобождаются только при необходимости.
Таким образом, во время внутриклеточного пищеварения ферменты высвобождаются из лизосом в вакуоли. Они связаны с клетками, например, при реинкарнации животных. Иногда это изменение в клетках является патологическим.
Лизосомы включают внутриклеточные секреторные вакуоли, заполненные гидролитическими ферментами, связанными с фагом и аутофагоцитозом. На светооптическом уровне у них есть все возможности для выявления в соответствии со степенью их образования в клетке по энергии гистохимической реакции с кислой фосфатазой, ведущим лизосомальным ферментом. В микроскопии лизосомы ограничены мембраной гиалоплазмы.
Разновидности лизосом
Обычно выделяют 4 вида лизосом:
- первичный;
- вторичный;
- аутофагосомный;
- остаточный.

Первичные лизосомы подразумевают незначительные диафрагменные везикулы (их обычный поперечник располагается в границах 100 Нм), наполненные однородным веществом, что представляет собой комплект гидролитических ферментов. Лизосомы были выявлены в 40 частицах (протеазы, нуклеазы, гликозидазы, фосфорилазы, сульфатазы и т. д. ), чей положительный метод воздействия, рассчитанный на кислую сферу рН 5. Их мембраны включают особые белки-носители для транспорта элементов и гидролитического расщепления — аминокислот, сахаров и нуклеотидов в гиалоплазме и устойчивы к гидролитическим ферментам.
Вторичные лизосомы возникают посредством слияния первичных вакуолей с эндоцитозом либо пиноцитозом. В иных частях они вводят внутриклеточные пептические вакуоли, ферменты которых поставляются. Вид второстепенных лизосом достаточно многообразен и варьируется в зависимости от гидролитического содержания.
Ферменты лизосомы расщепляют биопрепараты, прибывающие в клетку, и это приводит к формированию мономеров, что транспортируются через пленку лизосомы в гиалоплазму, где они применяются либо совмещаются с разными реакциями синтеза и метаболизма. При помощи начальных лизосом и гидролитическом расщеплении их ферменты оказывают большое влияние на единичные клеточные текстуры (стареющие органеллы, соединения и т. д. ).
Аутофагоцитоз представляется непосредственным подходом к клеточной жизни и играет существенную роль в обновлении ее строений, во внутриклеточной регенерации. Оставшийся белок представляется одним из минувших рубежей жизни фага и аутолизосом и располагается в стадии неполноценного аутофагоцитоза, после чего он освобождается из клеточки экзоцитоза. Они уплотняются, и часто происходит повторное структурообразование непереваренных сочетаний (например, липиды содействуют освобождению непростых расслоенных образований).
Биохимическая организация
Пассивная компартментализация предполагает лишь только временную изоляцию сильных гидролаз в деликатных мембранных мешках. Ферментативная инактивация достигается почти всеми причинами. Первым из их считается поддержание рН среды, не соответствующей хорошей энергичности ферментов. Не считая того, что в пределах 20% их вводится в мембрану лизосом и пока что инактивируются в ней путём объединения с липидами, другие 80% не внедряются в мембрану, но присутствуют в мукополисахаридной матрице лизосом, а сами молекулы фермента снабжаются углеводными компонентами (гликозилированными).

Строение и функции комплекса Гольджи считаются довольно актуальными для поддержания обычной жизнедеятельности клетки растительных и иных организмов различного класса. Любая доля аппарата отвечает за определённую функцию, вследствие этого целый корпус функционирует плавно. Гольджи отвечает за определение общего синтеза сложных соединений широкого диапазона (например, молекул иммуноглобулина, протеогликанов, своеобразных структур плоскости и рецепторов и т. д. ).